Skip to main content
ImmuneCited

N-Acetylcysteine Figures

4 figures from peer-reviewed research

All Andrographis Arginine Astaxanthin Astragalus Conjugated Linoleic Acid Cordyceps Curcumin Elderberry Glutathione Iron N-Acetylcysteine Omega-3 Fatty Acids (EPA/DHA) Pelargonium sidoides Quercetin Resveratrol Vitamin D Zinc
All Types Chart Diagram Photograph Flowchart Forest Plot Micrograph Other
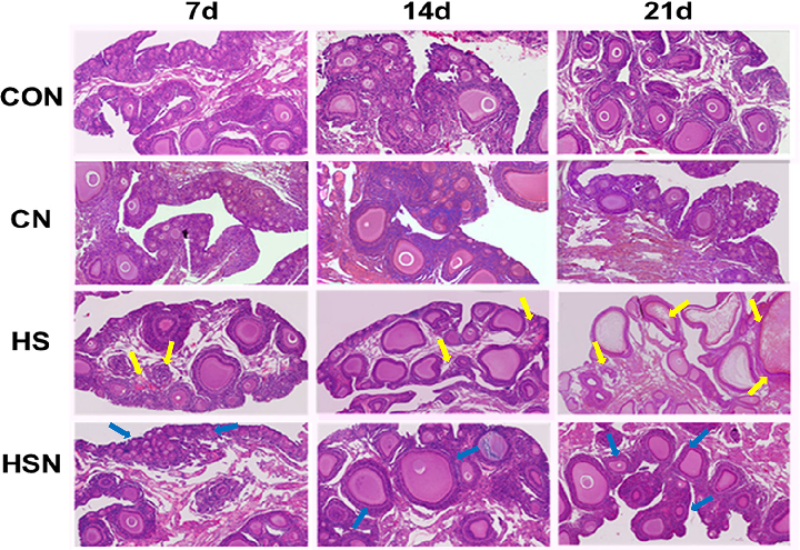
Figure 1. Results of H&E staining in ovarian tissues (40 £). The sites of ovarian damage in the HS group are indicated by yellow arrows. The sites of follicular morphology in the HSN group are indicated by blue arrows.
Figure 1

Figure 1. Results of H&E staining in ovarian tissues (40 £). The sites of ovarian damage in the HS group are indicated by yellow arrows. The sites of follicular morphology …

Effects of N-acetyl-l-cysteine on chronic heat stress-induced oxidative stress and inflammation in …

Figure 2
Figure 2

Effects of N-acetyl-l-cysteine on chronic heat stress-induced oxidative stress and inflammation in …

Figure 4. The mRNA expression levels of inflammatory genes associated with the NF-kB pathway in the ovaries. (A−F) The mRNA expression levels of NF-kB, IL-8, IKKa, TNF-a, IL-18, and IFN-g.
Figure 3

Figure 4. The mRNA expression levels of inflammatory genes associated with the NF-kB pathway in the ovaries. (A−F) The mRNA expression levels of NF-kB, IL-8, IKKa, TNF-a, IL-18, and IFN-g.

Effects of N-acetyl-l-cysteine on chronic heat stress-induced oxidative stress and inflammation in …

Figure 5. Protein expression levels of NF-kB and TNF-a in the ovaries. (A) The western blotting results of NF-kB and TNF-a. (B, C) Quantification of NF-kB and TNF-a.
Figure 4

Figure 5. Protein expression levels of NF-kB and TNF-a in the ovaries. (A) The western blotting results of NF-kB and TNF-a. (B, C) Quantification of NF-kB and TNF-a.

Effects of N-acetyl-l-cysteine on chronic heat stress-induced oxidative stress and inflammation in …