Skip to main content
ImmuneCited

Resveratrol Figures

35 figures from peer-reviewed research

All Andrographis Arginine Astaxanthin Astragalus Conjugated Linoleic Acid Cordyceps Curcumin Elderberry Glutathione Iron N-Acetylcysteine Omega-3 Fatty Acids (EPA/DHA) Pelargonium sidoides Quercetin Resveratrol Vitamin D Zinc
All Types Chart Diagram Photograph Flowchart Forest Plot Micrograph Other
Figure 1. Some of the molecular bases of resveratrol anti-inflammatory effects. Inflammation induces the activation of several cell signaling pathways. The exact mechanism of RSV-mediated protection is not yet understood, but it was described that RSV int
Figure 5 Diagram

Molecular bases of resveratrol's anti-inflammatory effects are comprehensively illustrated, showing how inflammation activates multiple signaling pathways that are concurrently modulated by resveratrol through NF-kB, MAPK, and SIRT1 mechanisms.

Anti-Inflammatory Effects of Resveratrol: Mechanistic Insights.

Fig. 1 Histopathological alterations in ovarian sections of the control and the experimental groups. a control; b PCOS; c solvent; d resveratrol; e metformin and f metformin+resveratrol group. g-l higher magnification of the follicles in these groups, res
Figure 5 Micrograph

Histopathological analysis of ovarian sections across control and experimental groups shows characteristic PCOS features including multiple cystic follicles and thickened theca cell layers. Treatment groups demonstrate partial normalization of ovarian morphology.

Effect of resveratrol and metformin on ovarian reserve and ultrastructure in PCOS: …

Fig. 2 A Representative SIRT1 immunreactivity in control, PCOS, resveratrol, metformin and metformin+resveratrol groups. a; control, b; PCOS, c; solvent, d; resveratrol, e; metformin and f; metformin+resveratrol groups. B HSCORE of SIRT1 immunostaining in
Figure 6 Micrograph

SIRT1 immunoreactivity in ovarian tissue varies across experimental groups, with reduced expression in PCOS rats and partial restoration following resveratrol and metformin treatment. SIRT1 is implicated in cellular stress responses and metabolic regulation.

Effect of resveratrol and metformin on ovarian reserve and ultrastructure in PCOS: …

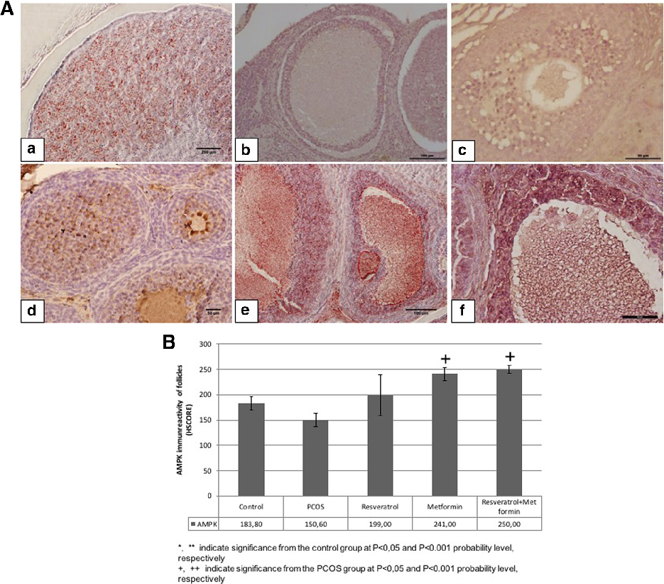
Fig. 3 A Representative AMPK immunreactivity in control, PCOS, resveratrol, metformin and metformin+resveratrol groups. a; control, b; PCOS, c; solvent, d; resveratrol, e; metformin and f; metformin+resveratrol groups. B HSCORE of AMPK immunostaining in c
Figure 7 Micrograph

AMPK immunoreactivity analysis reveals decreased phosphorylated AMPK in PCOS ovarian tissue compared to controls. Both metformin and resveratrol treatments partially restore AMPK activation, consistent with their known metabolic signaling effects.

Effect of resveratrol and metformin on ovarian reserve and ultrastructure in PCOS: …

Fig. 4 A TUNEL analysis of granulosa and theca cells in control, PCOS, resveratrol, metformin and metformin+resveratrol groups. a; control, b; PCOS, c; solvent, d; resveratrol, e; metformin and f; metformin+resveratrol groups. Apoptotic cells are indicate
Figure 8 Micrograph

TUNEL analysis of granulosa and theca cells quantifies apoptotic rates across experimental groups. PCOS induction increases apoptosis in granulosa cells, while resveratrol and metformin treatments reduce apoptotic indices toward control levels.

Effect of resveratrol and metformin on ovarian reserve and ultrastructure in PCOS: …

Fig. 5 TEM photomicrographs of control and PCOS groups. Oocyte, granulosa and theca cells of follicles in control group (a-c), in PCOS group (d-i) and in solvent group (j-l). D shows the relation between oocyte-zona pellucida-granulosa cells; e-h show gra
Figure 9 Micrograph

Transmission electron microscopy photomicrographs reveal ultrastructural details of oocytes, granulosa cells, and theca cells in control and PCOS groups. PCOS follicles exhibit mitochondrial swelling, dilated endoplasmic reticulum, and other signs of cellular stress.

Effect of resveratrol and metformin on ovarian reserve and ultrastructure in PCOS: …

Fig. 6 TEM photomicrographs of resveratrol, metformin and metformin+resveratrol-treated rats. Oocyte, granulosa and theca cells of follicles in resveratrol group (a-c), in metformin group (d-f) and in metformin+resveratrol group (g-i). Arrows indicate hea
Figure 10 Micrograph

TEM photomicrographs of resveratrol-, metformin-, and combination-treated rat ovarian tissue show improved ultrastructural features compared to untreated PCOS. Mitochondrial morphology and endoplasmic reticulum integrity are partially restored.

Effect of resveratrol and metformin on ovarian reserve and ultrastructure in PCOS: …

Figure 5
Figure 5

Tabular or graphical summary of animal model studies evaluating resveratrol's therapeutic effects on endometriotic lesion size, vascularization, and inflammatory marker expression.

Therapeutic Approaches of Resveratrol on Endometriosis via Anti-Inflammatory and Anti-Angiogenic Pathways.

Figure 6
Figure 6 Diagram

Molecular mechanisms underlying resveratrol's anti-inflammatory activity in endometriosis, including NF-kB inhibition and cytokine modulation pathways.

Therapeutic Approaches of Resveratrol on Endometriosis via Anti-Inflammatory and Anti-Angiogenic Pathways.

Figure 7
Figure 7 Diagram

Anti-angiogenic effects of resveratrol in endometriosis models, showing inhibition of VEGF expression or microvessel density in endometriotic implants.

Therapeutic Approaches of Resveratrol on Endometriosis via Anti-Inflammatory and Anti-Angiogenic Pathways.

Figure 8
Figure 8

Comparison of resveratrol with conventional endometriosis therapies or other natural compounds, highlighting potential advantages of the polyphenolic approach.

Therapeutic Approaches of Resveratrol on Endometriosis via Anti-Inflammatory and Anti-Angiogenic Pathways.

Figure 2. Resveratrol synthesis from malonyl-CoA and 4-coumaroyl CoA [43].
Figure 9 Diagram

Biosynthetic pathway of resveratrol from malonyl-CoA and 4-coumaroyl CoA precursors. Understanding the natural synthesis route informs efforts to produce this polyphenol for therapeutic applications in conditions such as endometriosis.

Therapeutic Approaches of Resveratrol on Endometriosis via Anti-Inflammatory and Anti-Angiogenic Pathways.

Figure 10
Figure 10 Diagram

Detailed analysis of resveratrol's molecular targets in endometrial tissue, focusing on oxidative stress reduction and apoptosis induction in ectopic endometrial cells.

Therapeutic Approaches of Resveratrol on Endometriosis via Anti-Inflammatory and Anti-Angiogenic Pathways.

Figure 3. Illustration of molecular pathways in the development of endometriosis [7,68,73–75].
Figure 11 Diagram

Comprehensive pathway illustration showing the molecular mechanisms involved in endometriosis development, including estrogen signaling, inflammatory cascades, and angiogenic processes that resveratrol may therapeutically target.

Therapeutic Approaches of Resveratrol on Endometriosis via Anti-Inflammatory and Anti-Angiogenic Pathways.

Figure 1 Cardiac aging and heart failure (HF). Lifetime molecular and cellular stresses such as genomic, epigenetic, oxidative, autophagic, inflammatory and regenerative stresses, along with the accumulation of senescent cells, drive cardiac aging and lead
Figure 1 Diagram

Comprehensive diagram of cardiac aging mechanisms leading to heart failure, depicting how genomic, epigenetic, oxidative, autophagic, and inflammatory stresses drive structural changes including left ventricular hypertrophy and myocardial fibrosis.

Systemic aging fuels heart failure: Molecular mechanisms and therapeutic avenues.

Figure 2 Systemic aging and heart failure (HF). Systemic aging fuels HF, with cardiac, vascular, metabolic and inflammaging as major contributors. HF-associated molecular mechanisms—cardiac, vascular, metabolic and inflammaging—are summarized along with obs
Figure 2 Diagram

Systemic aging pathways fueling heart failure, summarizing cardiac, vascular, metabolic, and inflammaging mechanisms alongside their associated molecular changes and clinical phenotypes.

Systemic aging fuels heart failure: Molecular mechanisms and therapeutic avenues.

Figure 3
Figure 3 Diagram

Molecular mechanisms or therapeutic targets related to age-associated heart failure, covering topics such as senescent cell accumulation, RAAS dysregulation, and potential anti-aging interventions.

Systemic aging fuels heart failure: Molecular mechanisms and therapeutic avenues.

Figure 4
Figure 4 Diagram

Molecular mechanisms or therapeutic targets related to age-associated heart failure, covering topics such as senescent cell accumulation, RAAS dysregulation, and potential anti-aging interventions.

Systemic aging fuels heart failure: Molecular mechanisms and therapeutic avenues.

Figure 2
Figure 2 Diagram

Molecular pathways through which Helicobacter pylori promotes gastric carcinogenesis are diagrammed, including CagA and VacA virulence factor signaling.

Antitumor Effects of Resveratrol Opposing Mechanisms of Helicobacter pylori in Gastric Cancer.

Figure 3
Figure 3 Diagram

Resveratrol's molecular targets in counteracting H. pylori-induced gastric cancer are mapped, spanning anti-inflammatory, antioxidant, and anti-proliferative pathways.

Antitumor Effects of Resveratrol Opposing Mechanisms of Helicobacter pylori in Gastric Cancer.

Figure 3. Mechanisms of resveratrol in preventing inflammation (red box), oxidative stress (yellow box), H. pylori infection (light blue box) and, thereby, cancer (all, light pink box).
Figure 4 Diagram

Mechanisms of resveratrol in preventing inflammation, oxidative stress, H. pylori infection, and carcinogenesis in the gastric mucosa are comprehensively illustrated.

Antitumor Effects of Resveratrol Opposing Mechanisms of Helicobacter pylori in Gastric Cancer.

Figure 1. Brain microglia activation in AD. Microglia are effective in Aβ clearance, neuroinflammation, and the production and aggregation of Aβ. Also, an Aβ pathologic increase in the brain and
Figure 1 Chart

Brain microglia activation in AD. Microglia are effective in Aβ clearance, neuroinflammation, and the production and aggregation of Aβ.

Mechanisms Linking Obesity, Insulin Resistance, and Alzheimer's Disease: Effects of Polyphenols and …

Figure 2
Figure 2 Diagram

Visual summary of the pathways and interactions relevant to mechanisms Linking Obesity, Insulin Resistance, and Alzheimer's Disease, as discussed in the context of alzheimer's disease (AD) is a complex neurodegenerative disorder characterized by progressive cognitive decline, memo.

Mechanisms Linking Obesity, Insulin Resistance, and Alzheimer's Disease: Effects of Polyphenols and …

Figure 3
Figure 3 Diagram

Schematic representation highlighting the mechanisms underlying mechanisms Linking Obesity, Insulin Resistance, and Alzheimer's Disease and their potential therapeutic implications.

Mechanisms Linking Obesity, Insulin Resistance, and Alzheimer's Disease: Effects of Polyphenols and …

Page 1 of 2