Skip to main content
ImmuneCited

Astragalus Hình ảnh

7 hình ảnh từ nghiên cứu có bình duyệt

Tất cả Vitamin D Zinc Iron Andrographis Astragalus Elderberry Pelargonium sidoides Cordyceps Arginine N-Acetylcysteine Quercetin Curcumin Glutathione Resveratrol Astaxanthin Omega-3 Fatty Acids (EPA/DHA) Conjugated Linoleic Acid
All Types Chart Diagram Photograph Flowchart Forest Plot Micrograph Other
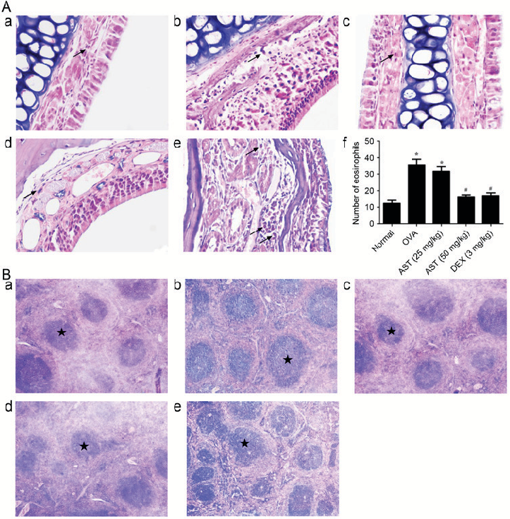
Figure 2
Figure 2

Protective effects of astragaloside IV against ovalbumin-induced allergic rhinitis are mediated by …

Figure 3
Figure 3

Protective effects of astragaloside IV against ovalbumin-induced allergic rhinitis are mediated by …

Figure 4
Figure 4

Protective effects of astragaloside IV against ovalbumin-induced allergic rhinitis are mediated by …

Figure 5
Figure 5

Protective effects of astragaloside IV against ovalbumin-induced allergic rhinitis are mediated by …

Figure 6
Figure 6

Protective effects of astragaloside IV against ovalbumin-induced allergic rhinitis are mediated by …

Figure 7
Figure 7

Protective effects of astragaloside IV against ovalbumin-induced allergic rhinitis are mediated by …

Figure 8
Figure 8

Protective effects of astragaloside IV against ovalbumin-induced allergic rhinitis are mediated by …